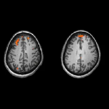
According to a new study conducted by a team of scientists from Cardiff University Brain Research Imaging Centre (CUBRIC), the Institute of Psychiatry, Psychology and Neuroscience, Kings College London and the University of Bristol, new scanning methods could be used to predict people at risk of schizophrenia. The results have been published in the journal Human Brain Mapping,

Symptoms of schizophrenia can be partly explained by disordered connectivity in the brain. It is already known that brains of schizophrenia patients are wired differently and work less efficiently. The scientists used a specific type of MRI that maps the wiring of the brain to identify how the brains of young people who have some symptoms of schizophrenia are wired differently.

They scanned 123 people who have vulnerability to psychosis, and 125 people without vulnerability and compared the differences in the wiring of their brains. The findings showed that in people who were vulnerable to schizophrenia, the ability of the brain network to transmit information from one region to another was reduced and some information pathways were rerouted. This affected certain  information hubs of the brain leading to widespread problems in information processing that is similar to schizophrenia.

Cardiff University’s Dr Mark Drakesmith, who led the research, said: “The changes we’ve identified in the brain networks are extremely subtle. However, using a specific type of Magnetic Resonance Imaging (MRI) which maps the wiring of the brain, we have made some key discoveries that would not have been detected using more established brain imaging techniques. The technique employs a branch of mathematics called ‘graph theory’, which allows us to examine complex architectural features of networks, such as efficiency of information transfer. This approach is traditionally used in computer science, but is now giving neuroscientists and psychiatrists new insights into how configurations of brain networks are altered in mental illness.“

The scientists believe that their analysis offers valuable insight into the wiring of the brain and provides a new tool for predicting schizophrenia. Professor Anthony David at Kings College London points out that  Understanding the way people’s brains become misconnected or connected less efficiently is critical to understanding the illness and that is it important to find out why these changes progress in some while they don't in others. 

Source: Cardiff University

Image Credit: Wikimedia Commons 




Latest Articles

MRI, medical imaging, schizophrenia, brain connectivity According to a new study conducted by a team of scientists from Cardiff University Brain Research Imaging Centre (CUBRIC), the Institute of Psychiatry, Ps...